Ersttrimester-Screening

Ersttrimester-Screening

Zwischen der 12+0 & 13+6 Schwangerschaftswoche

Schon in diesen frühen Schwangerschaftswochen ist eine exakte und detaillierte Beurteilung des Feten in seiner gesamten Entwicklung möglich.
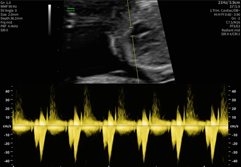
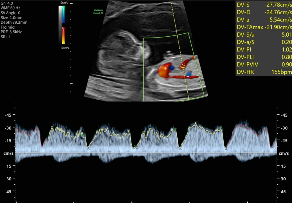
Das gesamte Kind wird genau angeschaut und ausgemessen, Organe wie Herz, Gehirn, das Knochengerüst, die inneren Organe und die Durchblutung werden überprüft.

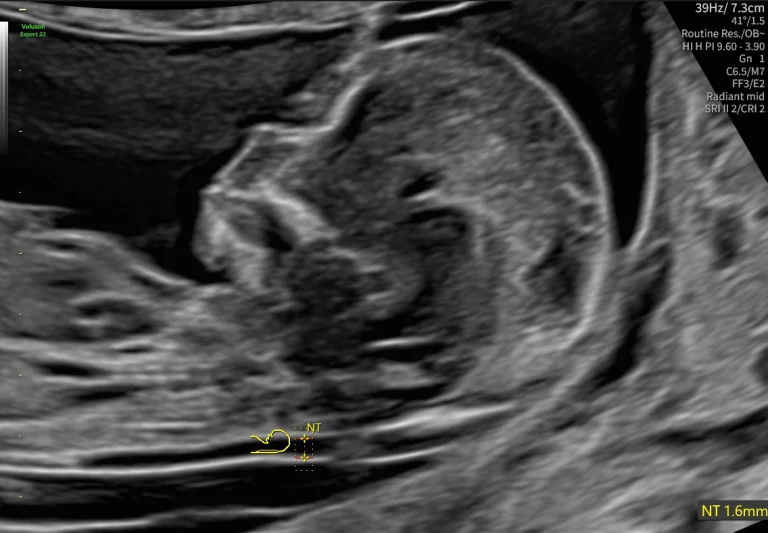
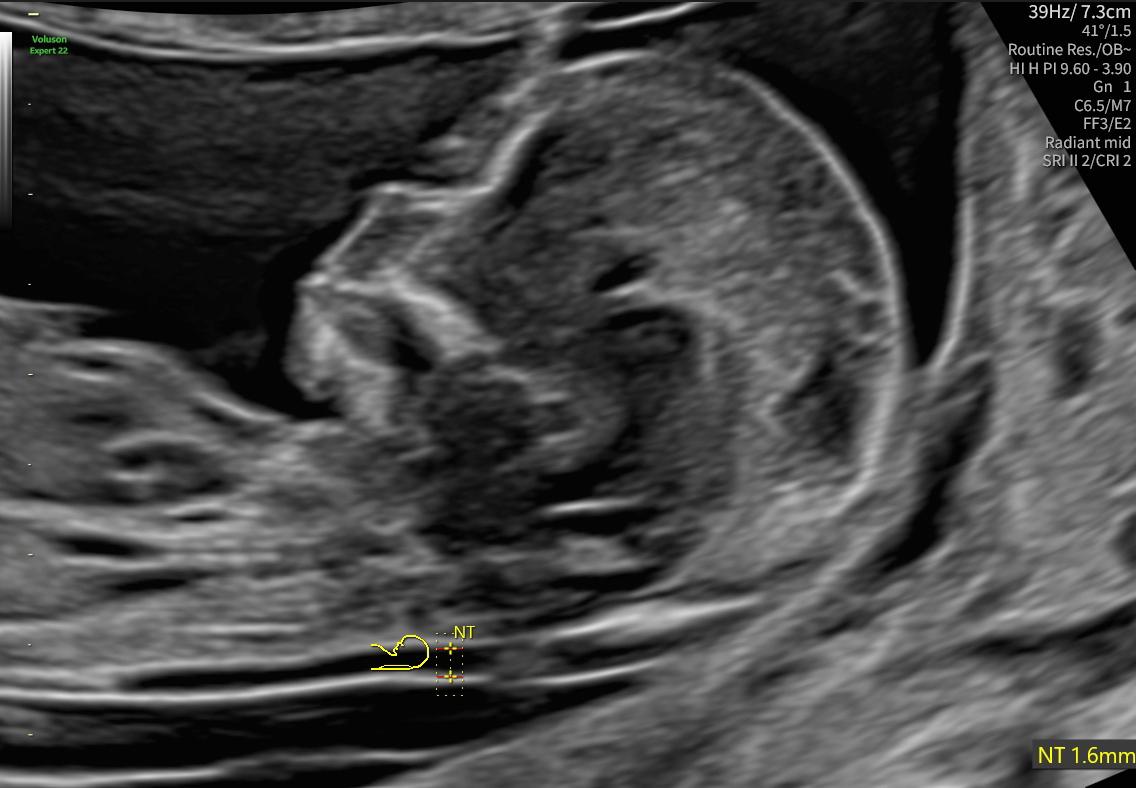
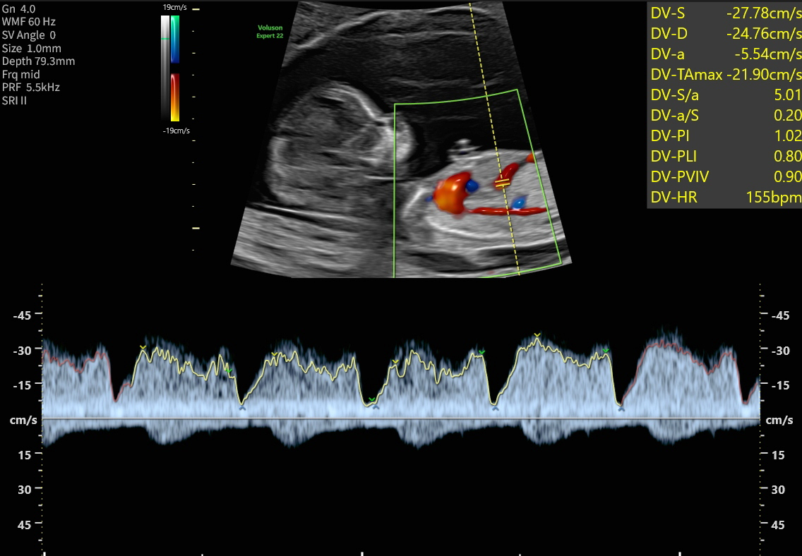
Die Besonderheit im ersten Trimester ist die Messung der Nackentransparenz (nuchal translucency, NT oder „Nackenfalte“ genannt), eine schmale Flüssigkeitsansammlung im Bereich des kindlichen Nackens, die in frühen Schwangerschaftswochen stets nachzuweisen und somit bis zu einem bestimmten Maß als normal anzusehen ist.
Mit Verbreiterung der Nackentransparenz steigt jedoch das Risiko für mögliche Erkrankungen des Feten, dies können sowohl organische als auch genetische Störungen sein.

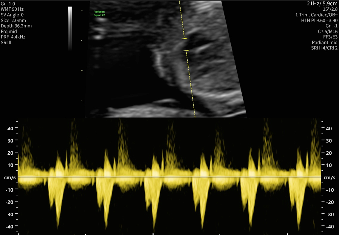
Zusätzliche Kriterien sind die Messung des kindlichen Nasenbeins, Beurteilung des Blutflusses über den Herzklappen und Messung des venösen Blutflusses zum kindlichen Herzen hin. Parallel dazu können aus einer mütterlichen Blutprobe zwei Schwangerschaftshormone (freies ß-HCG und PAPP-A) analysiert werden. Besonders hohe oder niedrige Konzentrationen sind als Risiko für das mögliche Vorliegen von Chromosomenveränderungen und einer Reihe weiterer Erkrankungen zu werten. Aus den biochemischen Ergebnissen, den Ultraschalldaten und Ihren persönlichen Daten wird ein individuelles Risiko für Chromosomenstörungen in der vorliegenden Schwangerschaft errechnet.

Die Entdeckungsrate für die gesuchten Chromosomenstörungen (Down-Syndrom, Trisomie 13 oder Trisomie 18) bei dieser kombinierten Untersuchung liegt bei ca. 92 % mit einer falsch-positiven Rate von 5 %. Bei einem günstigen Ergebnis fühlen sich viele werdende Eltern sehr entlastet und verzichten häufig auf eine weitere invasive Diagnostik wie Fruchtwasseruntersuchung oder Chorionzottenbiopsie.

Wir weisen darauf hin, dass das Ersttrimesterscreening keine Untersuchung ist, die von den gesetzlichen Krankenkassen übernommen wird.

Qualitätssicherung

Die Durchführung dieser komplexen Untersuchung ist speziell ausgebildeten Untersuchern vorbehalten. In unserer Abteilung liegen die Zertifizierungen der renommierten Fetal Medicine Foundation (Prof. K. Nicolaides), London vor.

Ebenfalls liegt die Qualifikation zur genetischen Beratung gemäß § 7 des Gendiagnostikgesetzes (GenDG) vor.

Unsere Ärztinnen

Doctolib Termin