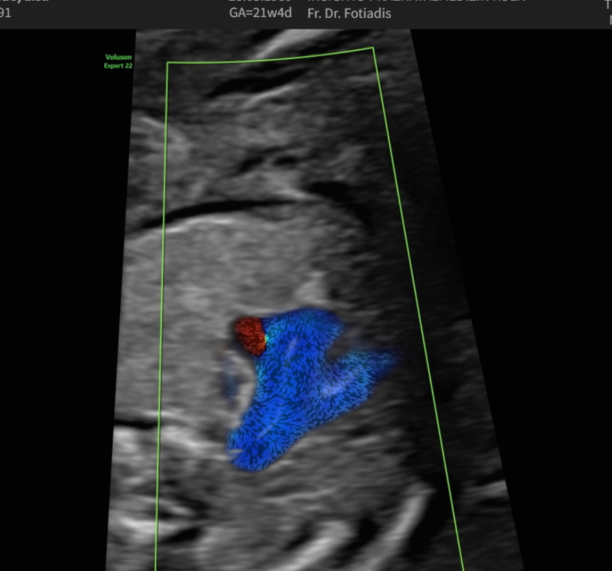
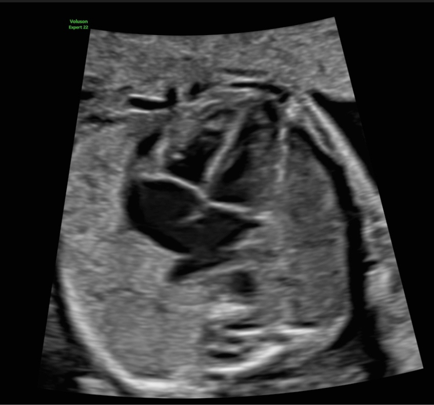
Echokardiographie
Fehlbildungen des Herz-Kreislaufsystems gehören zu den häufigsten Störungen des Neugeborenen und finden sich bei 0,5–1 % aller lebend geborenen Kinder.
Viele dieser Herzfehler sind nicht schwerwiegend und bedürfen keiner Therapie. Ein Teil jedoch kann gravierend, ja sogar lebensbedrohend bei der Geburt sein, sodass hier die Diagnose schon im Mutterleib lebensrettend sein kann. In diesen Fällen muss dann die Entbindung geplant in einem Zentrum mit den Neonatologen und Kinderkardiologen stattfinden, das Neugeborene benötigt bestimmte Medikamente oder muss intensivmedizinisch betreut werden. Manchmal sind auch sehr schnell Eingriffe und Operationen nötig.
Das Entdecken und die Beurteilung von fetalen Herzfehlern erfordert ein hohes Maß an Untersuchungserfahrung und eine entsprechende Geräteausstattung, sodass sie häufig im Rahmen von Routineuntersuchungen nicht erkannt werden. Daher sollten gerade Eltern mit einem erhöhten Risiko für fetale Herzfehler diese Untersuchung des kindlichen Herzens durchführen lassen.
Indikationen für die Herzuntersuchung
- Herzfehler in der Familie
- Herzfehler in vorangegangener Schwangerschaft
- Mütterliche Erkrankung (z. B. Diabetes, Autoimmunerkrankungen)
- Medikamenteneinnahme in der Schwangerschaft
- Röntgenuntersuchungen
- Infektionen (z. B. Röteln, Toxoplasmose oder Cytomegalie)
- Verdacht im Rahmen der Mutterschaftsvorsorge
- Vermehrter Fruchtwassermenge
- Verdickte Nackenfalte beim Ersttrimesterscreening
- Mehrlingsschwangerschaft
Alle Untersuchungen werden an High-end-Geräten durchgeführt, die technisch auf dem allerneuesten Stand sind.
Diese Untersuchung kann bei entsprechender Indikation mit Überweisung vom betreuenden Frauenarzt erfolgen oder als Wunschleistung ohne Indikation.



