Dopplersonographie

Dopplersonographie

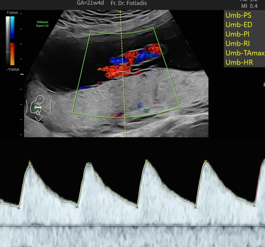
Diese spezielle Untersuchungsmethode dient der Überprüfung von Blutflüssen und Flussgeschwindigkeiten in der Gebärmutter und in verschiedenen kindlichen Blutgefäßen. Mittels Dopplersonographie sind wir in der Lage, die Blutversorgung wie auch die Herzfunktion und Kreislaufsituation des Kindes zu beurteilen. Ebenso kann eine fetale Anämie (Blutarmut) erkannt werden.
 Die Beurteilung der mütterlichen Gebärmutterarterien erlaubt eine Abschätzung des Risikos für das Auftreten einer Schwangerschaftsvergiftung (Präeklampsie) oder einer Wachstumsstörung des Kindes. Auf diese Weise können wir die Versorgungslage und in gewissem Maße auch das kindliche Befinden überprüfen, Mangelversorgungen aufdecken und die entsprechenden Maßnahmen bis hin zur vorzeitigen Entbindung treffen.

Indikationen zur Dopplersonographie

Unsere Ärztinnen

Doctolib Termin